ホワイトニングも無料でご提供
無料相談
土日診療
最短3ヶ月〜
分割払い可能
ホワイトニング無料
無料相談
土日診療
最短3ヶ月〜
分割払い可能
ホワイトニング矯正歯科とは、一般的には悪い歯並びをきれいに治す治療のことをいいます。
歯並びの美容的な改善をするだけではなく、発音障害を改善すること、前歯で食べ物をしっかりとかみ切ることや奥歯で食べ物を噛み砕くこと、全身とかみ合わせのバランスを調整すること、歯のガタツキをなくすことにより歯の清掃性を良くして、歯の寿命を延ばすという予防的な効果も持ち合わせています。さらに、成長期のお子さまには、顎、顔の適切な成長発育を促す効果もあります。
まずは無料カウンセリングへ
子どもの矯正(小児矯正)は、あごの骨のバランスや大きさを整える「1期治療(骨格矯正)」と、永久歯が生えそろってから歯の位置を整える「2期治療(歯列矯正)」の2段階からなります。
乳歯と永久歯が混じった時期の治療で、主に成長を利用した治療を行ないます。(6~10歳)
歯の1本1本に装置をつけ、歯の根までコントロールして最終的な咬み合わせを作ります。
永久歯に生えそろった方を対象とするのが成人矯正で、「2期治療」ともいわれます。近年、治療技術の進歩により、矯正治療に年齢は関係なくなり、患者様のライフスタイルに合わせてさまざまな治療法が選択できるようになりました。

上の歯が前面に傾斜して生えている状態です。または下の歯全体が後ろに位置することでも出っ歯に見えます。この状態だと前歯でくちびるを切ってしまったり、顔を強打したときに歯が折れやすくなります。

出っ歯とは逆に、上の歯より下の歯が前面に出ている状態です。上の顎が小さい、もしくは下の顎が大きいことで起こります。うまく食べ物が噛めなかったり、滑舌が悪くなる歯並びです。

噛んでいても前歯がかみ合っていない状態のことです。発音が悪くなったり、前歯でものを噛み切ることが難しくなります。舌の癖や指をしゃぶる癖が原因で起こることがあります。

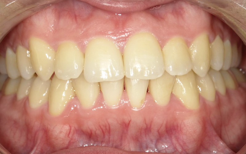
歯がでこぼこに並んでいる状態のことをいいます。この状態は歯磨きのときにブラシがしっかりと届きにくく歯垢が残りやすいため、むし歯や歯槽膿漏の原因になります。

上の歯が下の歯を覆ってしまうほど深く噛んでいる状態をいいます。下の歯が上の歯茎を刺激することで口内炎ができたり、前歯が乾くことでむし歯の原因にもなります。

上顎・下顎ともに前に突き出ていいる状態をいいます。

上下の噛み合わせが横にずれている状態をいいます。左右の顎に成長の差が出ることにより顔が歪んでしまう場合があります。

歯と歯の間に隙間ができている状態です。これは顎の骨の大きさに対して歯が小さく生えてしまうことが原因です。隙間があると食べ物が詰まりやすくなり、むし歯や歯周病の原因になります。また隙間から息漏れが生じるのでサ行・タ行・ラ行の発音が悪くなります。

矯正歯科治療に一番良く使用されているマルチブラケットといわれる装置です。

床矯正とは、床(しょう)と呼ばれるプレート状の装置を使い、装置についたネジを段階的に絞めていくことで歯列の幅を広げていく方法です。歯列を広げて整えるので抜歯をする必要がなく、装置は取り外しが可能なので、食事や歯磨きがしやすいのが特徴です。特に顎が成長段階の子供の矯正に適しています。

透明なマウスピースタイプの矯正装置です。
ブラケットやワイヤーを使用しないため、付けているのがほとんどわかりません。マウスピースを2週間ごとに新しいものに付け替えていくことで歯並びを改善していきます。
まずは無料カウンセリングへ




| 矯正相談 |
無料 |
| 検査・診断 |
16,500円 |
| 準備矯正、マウスピース型矯正 | 乳歯と永久歯が混じっている |
88,000円 |
|---|---|---|
| 第1期治療 | 顎を拡大し、永久歯の生えるスペースを確保したり正しい顎の成長を誘導する。 |
330,000円 |
| 第2期治療 | 1期治療後にブラケット・ワイヤーをつけて歯並びを綺麗にできあがる。 |
275,000円 |
来院は月一回(調整量 3,300円)
| メタルブラケット |
660,000円 |
| ホワイトブラケット |
770,000円 |
| マウスピース矯正 |
770,000円 |
| 部分矯正 |
22,000円 |
来院は月一回(調整量 5,500円)
まずは無料カウンセリングへ


| 施術内容 | 乳歯と永久歯が混じっている |
|---|---|
| 年齢 | 21歳男性 |
| 治療期間 | 2年間 |
| 金額 | 77万円 |
| 治療回数 | 月一回来院 |
| 副作用 | 磨きにくい、虫歯になりやすい |


| 施術内容 | 乳歯と永久歯が混じっている |
|---|---|
| 年齢 | 21歳女性 |
| 治療期間 | 1年2ヶ月 |
| 金額 | 77万円 |
| 治療回数 | 3か月一回来院 |
| 副作用 | 口内炎ができやすい |